Summary
Students will use DNA processes such as replication, transcription, and translation to study the differences between healthy individuals and those with a genetic disorder (in this case, cystic fibrosis). Students will apply this knowledge to the inheritance of traits through the use of Punnett squares.
Essential Question(s)
How are genetic disorders related to DNA processes?
Snapshot
Engage
Students watch a 3-minute video on DNA replication, transcription, and translation. Students complete two assessment probes after the video and discuss their responses to each.
Explore
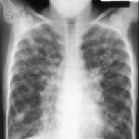
Students investigate cystic fibrosis by comparing the chest X-rays of a healthy individual and an individual with cystic fibrosis. Students read information on cystic fibrosis and work together to determine the genetic causes of this specific disorder.
Explain
Students share information discovered about cystic fibrosis through class discussion.
Extend
Students select a level 1 and a level 2 genetic disorder, then research the disorders and prepare an informational poster for a walk-about.
Evaluate
Students use academic vocabulary cards to demonstrate conceptual relationships and their understanding of basic DNA processes.
Materials
Short DNA processes video (see resources) or a short reading out of the textbook
Academic Vocabulary Cards (attached)
Cystic Fibrosis Reading (attached; also see resources for more suggested readings)
Dogs, Puppies, and So Much More (attached)
Genetic Structure Probe (attached)
Student Handouts 1 through 4 (attached)
Computers with internet access
Butcher paper or computer access (with software such as PowerPoint or Internet access to create a Prezi) for presentations
Engage
Have students watch the suggested video “From DNA to Protein - 3D.” Pass out the Genetic Structure Probe handout and give students time to read and respond to the prompts individually.
Using a Four Corners strategy, label the corners in this activity "Kyle," "Billy," "Kelly," and "Janet." Tell students to go the corner with the name of the person they agree with the most from the Genetic Structure Probe.
Have students discuss why they chose the corner and pick a spokesperson from each group who will try to convince the rest of the students to join their corner.
Allow each group to state their case to convince other students to join their corner.
After each corner speech allow students to change corners, if they wish.
After they return to their seats, give students the Dogs, Puppies, and So Much More assessment probe, and allow them time to read and respond to the prompts individually.
While they are reading the probe, go around the room and remove the names "Kyle," "Billy," "Kelly," and "Janet," replacing them with "Kevin," "Tisha," "Ahmad," "Joann," and "Maria" (there are five choices for this probe).
Repeat the same procedure as before, having the students choose the name of the person they believe is the most correct from the probe and then go to that corner.
Give students time to discuss their responses among each other in their groups and prepare a 30-second elevator speech supporting their points of view. An elevator speech is a short oral presentation that mimics the type of quick conversation you may have while on an elevator.
One student from each group should be nominated to give the speech.
Allow each group to give their speeches to the class. Be sure to only allow 30 seconds per speech!
After the speeches have been made, allow students to join another group, if they wish.
Explore
Pass out Student Handout 1 or show the two X-ray images to the class using a projector.
Ask students to examine the two X-rays and explain the differences. They will record their responses in the explanation boxes provided on the handout or in their notebooks.
Briefly have students share out their responses.
Pass out copies of Cystic Fibrosis Reading. Have students use a reading strategy such as: CUS and Discuss or Why-Lighting while they read the article to encourage close reading and to make them think about the article critically.
Have students Think-Pair-Share with a partner and discuss the article they just read.
With their partner, students should complete Student Handouts 2 and 3.
Monitor students’ progress and assist them when needed by using guiding questions or by giving them technical information, if certain material has yet to be covered in class.
Explain
Lead students through a class discussion going over Student Handouts 1–3 using an Inverted Pyramid strategy.
Ask students to answer the essential question: How are genetic disorders related to DNA processes? This can be done individually or in small groups.
Have students share responses to the essential question.
Extend
Using the Inverted Pyramid strategy again, have students attempt Student Handout 4, covering nucleotide base pairing.
Start with students in pairs, then groups, then discuss the handout as a whole class.
Once again, ask students to answer the essential question: How are genetic disorders related to DNA processes? This can be done individually or in small groups.
Next, put students in groups and have them select another genetic disorder to investigate. You may have students research on their own, or you may use the information provided from the Learn.Genetics website.
Have each group make a poster, slide presentation, or Prezi including the following information: Name of disorder, brief description, chromosome affected, inheritance of disorder, a possible Punnett Square for the disorder, cause of disorder (such as deletion, insertion, duplication), possible treatments, and interesting facts. Have students do a Gallery Walk. You can have one student from each group remain with the poster to explain, or have a question and answer session after everyone has had a chance to see all of the posters. If a group chooses to make a slide presentation or Prezi, have them present it to the class.
Evaluate
Give a set of Academic Vocabulary Cards to each pair of students. Have each pair sort the cards in a way that makes sense to them. Give them a few minutes without allowing them to look at the backs of the cards. Then tell them they can flip over five cards to read the back before finalizing their arrangement.
Each pair shares how they arranged their cards and why. You may have students tape or paste their cards on butcher paper to help them show and explain their arrangement.
Resources
Genetic Science Learning Center. (n.d.). Genetic Disorders. University of Utah. http://learn.genetics.utah.edu/content/disorders/singlegene (informational texts for various genetic disorders)
K20 Center. (n.d.) CUS and discuss. Strategies. https://learn.k20center.ou.edu/strategy/162
K20 Center. (n.d.) Four corners. Strategies. https://learn.k20center.ou.edu/strategy/138
K20 Center. (n.d.) Gallery walk / carousel. Strategies. https://learn.k20center.ou.edu/strategy/118
K20 Center. (n.d.) Inverted pyramid. Strategies. https://learn.k20center.ou.edu/strategy/173
K20 Center. (n.d.). Think-Pair-Share. Strategies. https://learn.k20center.ou.edu/strategy/139
K20 Center. (n.d.) Why-lighting. Strategies. https://learn.k20center.ou.edu/strategy/128
red Orbit. (2013, Feb 28). What is a Chromosome? [Video]. YouTube. https://www.youtube.com/watch?v=xUrlreMaUrs
yourgenome. (2015, Jan 7). From DNA to protein - 3D [Video]. YouTube. https://www.youtube.com/watch?v=gG7uCskUOrA